next up previous print clean
Next: Discussion Up: Brown: Sparse data interpolation Previous: Quadtree Pyramid Interpolation

Results

In this paper, I use a particularly simple example dataset - a 10-meter-resolution digital elevation map (DEM) of the area surrounding Fallen Leaf Lake, obtained freely from USGS[*]. This map, along with some relevant landforms, is shown in Figure [*]. To simulate an experiment, I sampled the map randomly at 2250 points: 1000 points in the northern region, 1000 in the southern region, and only 250 in the central region. The model grid is 256x256 points, giving a 40-meter output resolution. Figure [*] shows the experiment's fold, which varies from 0 to 3.

 
topo2
topo2
Figure 1
Left: Digital elevation map of the vicinity around Fallen Leaf Lake, California. Resolution is 10 meters. Windowed down from an original size of roughly 1400x1200 points to 1024x1024 points. Right: North-south derivative applied to topography to highlight landforms.
view burn build edit restore

 
topo2-fold
topo2-fold
Figure 2
Experimental fold. 2250 random samples on the 1024x1024 map are the ``data''. Model grid is 256x256.
view burn build edit restore

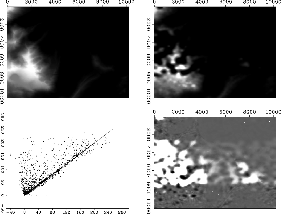
Figures [*] through [*] show the results of applying various estimation schemes to fill the holes in the acquisition. Starting from upper-left and moving clockwise, each of the four figures shows a) the ``answer,'' i.e., the 1024x1024 topographical surface, subsampled by a factor of four, b) the estimated model, c) The error in the estimate clipped to a common value and overlain by the the 2250 known data locations, and d) a crossplot of the estimated model and answer at 4000 randomly chosen spatial locations.

Figure [*] shows 100 iterations with Laplacian regularization. Obviously, convergence has not been achieved. Figure [*] shows 1000 iterations with Laplacian regularization. The crossplot is very tight, making this result tough to beat. Figure [*] shows 100 iterations of Laplacian regularization with preconditioning. This result is disappointing: Convergence to this result occured in only 10-20 iterations, but the result itself is not desirable. Although not the subject of this paper, the ``ice-cream-cone'' nature of this result is alarming and merits further investigation. Figure [*] shows 100 iterations of multiscale Laplacian regularization. This result is quite similar to the 1000 iterations Lapacian result, but the crossplot is not as tight. Also, we expect this result to be a bit smoother than the pure Laplacian, but it is difficult to see if it is. Figure [*] shows the explicit Quadtree Pyramid interpolation. The quadtree structure of the result is quite apparent. Although the interpolated map is not smooth spatially, the general structure of the topography are reproduced quite convincingly. Figure [*] shows 100 iterations of Laplacian regularization, with the explicit Quadtree Pyramid interpolation (Figure [*]) used as a starting guess. This result is quite similar to the 1000 iterations Laplacian result; also the 100 iterations with the multiscale Laplacian.

 
topodata2-lap100-show
topodata2-lap100-show
Figure 3
Simple Laplacian regularization, 100 iterations. Clockwise from upper-left: True model; Estimated model; Error; Crossplot of true versus estimated model.


view burn build edit restore

 
topodata2-lap1000-show
topodata2-lap1000-show
Figure 4
Laplacian regularization, 1000 iterations. Clockwise from upper-left: True model; Estimated model; Error; Crossplot of true versus estimated model.


view burn build edit restore

 
topodata2-prec100-show
topodata2-prec100-show
Figure 5
Preconditioned Laplacian regularization, 100 iterations. Clockwise from upper-left: True model; Estimated model; Error; Crossplot of true versus estimated model.


view burn build edit restore

 
topodata2-ms100-show
topodata2-ms100-show
Figure 6
Multiscale Laplacian regularization, 100 iterations. Clockwise from upper-left: True model; Estimated model; Error; Crossplot of true versus estimated model.


view burn build edit restore

 
topodata2-pyramid-show
topodata2-pyramid-show
Figure 7
Quadtree pyramid interpolation result. Clockwise from upper-left: True model; Estimated model; Error; Crossplot of true versus estimated model.


view burn build edit restore

 
topodata2-pyrlap100-show
topodata2-pyrlap100-show
Figure 8
Laplacian regularization, 100 iterations. Clockwise from upper-left: True model; Estimated model; Error; Crossplot of true versus estimated model.


view burn build edit restore

As the ``answer'' is known in this problem, we can quantitatively check the accuracy of an estimated model. The statistics below speak for themselves. Taking the standard deviation of the error to be a measure of goodness, we can rank the results from best to worst:

1.
Laplacian regularization, 1000 iterations.
2.
Multiscale Laplacian regularization, 100 iterations.
3.
Laplacian regularization, 100 iterations, quadtree pyramid interpolation used as starting guess.
4.
Quadtree pyramid direct interpolation.
5.
Preconditioned Laplacian regularization, 100 iterations.
6.
Laplacian regularization, 100 iterations.
Laplacian regularization, 100 iterations
                   | Min. Val. | Max. Val. | Mean Val. |  Median   | Std. Dev. |
 ----------------------------------------
     True values:    -42.10075   253.25171    33.82695    12.50521    48.19902
Estimated values:      0.00000   246.00000    44.96923    18.00000    54.02688
          Errors:    -70.55768   235.33752    11.14226     0.87845    29.06191
 Absolute errors:      0.00000   235.33752    12.89230     2.21318    28.32898
 Relative errors:      0.00000  1206.58191     3.02346     0.06742    33.63662
Laplacian regularization, 1000 iterations
                   | Min. Val. | Max. Val. | Mean Val. |  Median   | Std. Dev. |
 ----------------------------------------
     True values:      3.19786   232.39223    45.01379    20.00496    53.70287
Estimated values:      0.00000   246.00000    44.96923    18.00000    54.02688
          Errors:    -68.31208    76.44979    -0.04465    -0.00007     5.77580
 Absolute errors:      0.00000    76.44979     2.51392     0.80804     5.20023
 Relative errors:      0.00000     1.00000     0.06820     0.02891     0.10538
Preconditioned Laplacian regularization, 100 iterations
                   | Min. Val. | Max. Val. | Mean Val. |  Median   | Std. Dev. |
 ----------------------------------------
     True values:      2.55815   220.00000    38.08480    18.64038    45.06718
Estimated values:      0.00000   246.00000    44.96923    18.00000    54.02688
          Errors:    -61.61859   174.82333     6.88441     0.54753    19.72276
 Absolute errors:      0.00000   174.82333     8.05753     1.45995    19.27327
 Relative errors:      0.00000    43.94756     0.26195     0.07687     1.28934
Multiscale Laplacian regularization, 100 iterations
                   | Min. Val. | Max. Val. | Mean Val. |  Median   | Std. Dev. |
 ----------------------------------------
     True values:     -1.53884   229.31610    44.82654    20.00943    53.62170
Estimated values:      0.00000   246.00000    44.96923    18.00000    54.02688
          Errors:    -62.51950   107.75475     0.14272    -0.00067     8.23634
 Absolute errors:      0.00000   107.75475     3.38367     1.06108     7.51047
 Relative errors:      0.00000     7.89127     0.09558     0.03850     0.23027
Quadtree pyramid interpolation
                   | Min. Val. | Max. Val. | Mean Val. |  Median   | Std. Dev. |
 ----------------------------------------
     True values:      0.00000   235.00000    42.54507    18.00000    52.90804
Estimated values:      0.00000   246.00000    44.96923    18.00000    54.02688
          Errors:    -77.00000   102.00000     2.42414     0.00000    12.79912
 Absolute errors:      0.00000   102.00000     6.17795     1.00000    11.46838
 Relative errors:      0.00000     5.82759     0.18037     0.04881     0.40353
Laplacian regularization, 100 iterations, Quadtree pyramid starting guess
                   | Min. Val. | Max. Val. | Mean Val. |  Median   | Std. Dev. |
 ----------------------------------------
     True values:     -3.58206   237.56772    43.53872    18.33733    53.00369
Estimated values:      0.00000   246.00000    44.96923    18.00000    54.02688
          Errors:    -68.67423    71.94943     1.43058     0.00038     8.61643
 Absolute errors:      0.00000    71.94943     3.64835     0.85361     7.93589
 Relative errors:      0.00000     9.47873     0.10503     0.03159     0.31080

next up previous print clean
Next: Discussion Up: Brown: Sparse data interpolation Previous: Quadtree Pyramid Interpolation
Stanford Exploration Project
9/5/2000