next up previous print clean
Next: Derivation of integral AMO Up: Inversion to common offset Previous: Migration after regularization

Conclusions

I have presented a new approach for imaging irregularly sampled 3D prestack data. The method poses partial stacking with AMO as an optimization process to reduce the size of prestack data and regularize its coverage before migration. The new inversion, named ICO is applied to normal-moveout corrected data. It enables prestack analysis of the reflectivity function since the output models are partial stacks at non-zero offset. The partial stacks can be migrated separately and, either stacked together to form the final image, or, individually analyzed for amplitude and velocity variations.

I have presented a cost effective implementation of ICO in the Log-stretch Fourier domain with proper preconditioning and regularization of the inversion for iterative solvers. Results of applying ICO to a land 3D survey showed that regularizing the coverage before imaging helps preserve the amplitude information and the high frequency components of the reflectivity function. Furthermore, ICO provides a promising approach for reducing the costs of 3D acquisition.

 
time-slice
time-slice
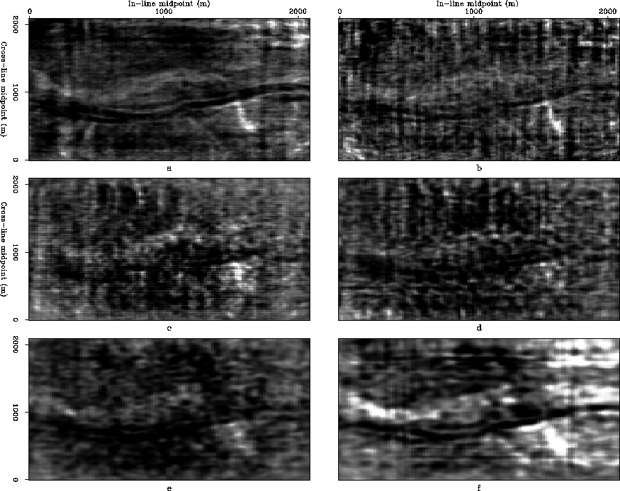
Figure 6
Time slices (0.71 s) obtained by: a) NMO-Stack of over-sampled subset, b) NMO-Stack of decimated subset, c) Un-normlized AMO-Stack, d) Normalized AMO-Stack, e) ICO partial stack using the data-space inverse, f) ICO partial stack using the model-space inverse.
view burn build edit restore

 
comp-inline
comp-inline
Figure 7
In-line sections at 1 km obtained by: a) NMO-Stack of over-sampled subset, b) NMO-Stack of decimated subset, c) Un-normlized AMO-Stack, d) Normalized AMO-Stack, e) ICO partial stack using the data-space inverse, f) ICO partial stack using the model-space inverse.
view burn build edit restore

 
comp-crossline
comp-crossline
Figure 8
Cross-line sections at 1 km obtained by: a) NMO-Stack of over-sampled subset, b) NMO-Stack of decimated subset, c) Un-normlized AMO-Stack, d) Normalized AMO-Stack, e) ICO partial stack using the data-space inverse, f) ICO partial stack using the model-space inverse.
view burn build edit restore

 
mig920
mig920
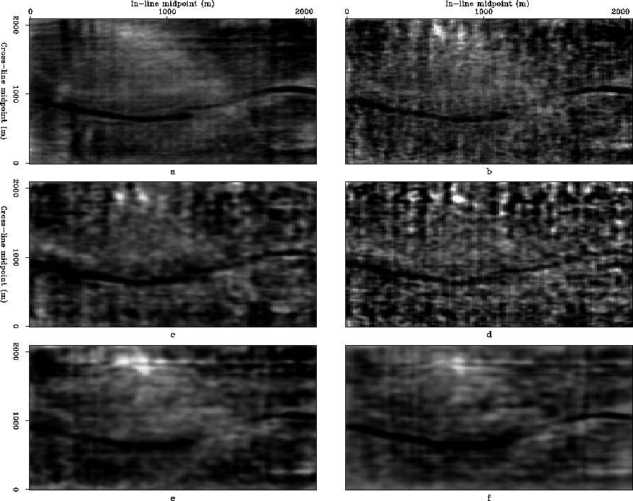
Figure 9
Depth slices at 920 m obtained by different imaging flows a) Migration of oversampled subset, b) Migration of decimated subset, c) Migration after binning, d) Migration after normalized AMO, e) Migration after ICO using data-space inverse, f) Migration after ICO using model-space inverse
view burn build edit restore

 
mig910
mig910
Figure 10
Depth slices at 910 m obtained by different imaging flows a) Migration of oversampled subset, b) Migration of decimated subset, c) Migration after binning, d) Migration after normalized AMO, e) Migration after ICO using data-space inverse, f) Migration after ICO using model-space inverse
view burn build edit restore

 

 


next up previous print clean
Next: Derivation of integral AMO Up: Inversion to common offset Previous: Migration after regularization
Stanford Exploration Project
1/18/2001